PTOSIS
眼瞼下垂

眼瞼下垂について
眼瞼下垂とは
眼瞼下垂とは、その名の通り、瞼(まぶた)が下がって見にくくなる病気です。瞼は眼球を保護したり、瞬きをして目の表面を潤したり、涙の成分を分泌するなどの働きがありますが、瞼を動かしているのは瞼の回りの筋肉組織です。何らかの原因でこの働きが悪くなり、瞳の真ん中である瞳孔を隠してしまうと視界が遮られ見にくくなります。邪魔な瞼をおでこを使って持ち上げるために、おでこには深い皺が刻まれ、頭痛などの症状を起こすこともあります。また、瞼が上がらないと顎を上げて上を見ようとする姿勢になるため肩や首がこるなどの症状をきたします。これらは無意識に行っているので、原因不明の頭痛や肩こりが実は眼瞼下垂のせいだったという事はよくあることなのです。
眼瞼下垂の種類
眼瞼下垂には先天性と後天性があります。先天性の眼瞼下垂は瞼の中の筋肉組織の発達の悪いものや、生まれつきの眼の形の問題であることがあります。後天性は、瞼を持ち上げる筋肉(上眼瞼挙筋)が瞼から外れてしまっている腱膜性眼瞼下垂と、加齢によって引き延ばされた瞼の皮膚が重く眼に覆い被さって見にくい眼瞼皮膚弛緩症、その両方が合併しているものがあります。急激に発症した場合は、神経や脳の問題が疑われますので、早く神経内科を受診した方が良いでしょう。
眼瞼下垂の原因
眼瞼下垂の原因は多岐にわたります。先天性であれば原因は明らかですが、後天性は本人の素因と環境要因、生活習慣などが発症に関わっており、その度合いはケースバイケースです。腱膜性眼瞼下垂は、瞼への機械的な刺激によって起こることが知られています。例えばハードコンタクトレンズ装用が有名です。あとは、内眼手術や外傷の既往、アレルギーやドライアイなどで頻繁に眼をこする、緑内障点眼の副作用なども報告されています。
眼瞼下垂の治療法
眼瞼下垂の治療法はまず、内科的な病気を除外、あるいは治療をし、症状が固定しているようであれば手術療法を考えます。手術は小さなお子様でなければ、局所麻酔で日帰りで行えます。皮膚を切らない手術から、皮膚をたくさん取るもの、腱や人工物を移植するものまで術式は何種類もあります。下垂の程度や皮膚の余り具合、挙筋機能などから一人一人に合った術式を決定します。あまりにひどい場合は複数回の治療が必要になることもあります。
眼瞼下垂の治療の流れ
まず、お困りの症状が眼瞼下垂によるものかどうか、治療の対象となる眼瞼下垂かを診断するため、カウンセリングを受けて頂きます。眼瞼下垂と診断されたら、手術のシミュレーションを行います。手術をご希望する方は眼瞼下垂を起こす全身疾患を鑑別するための採血を受けて頂きます。採血結果はおよそ2週間後にお伝えします。採血に異常がなければ手術の日程を決めます。
眼瞼下垂は保険適用
眼瞼下垂症と診断されれば手術は保険適応です。保険で行う眼瞼下垂手術と美容外科で行う美容整形の違いは何でしょうか。それは保険で行う眼瞼下垂手術は、視機能の改善及び眼瞼下垂による諸症状の改善を目的としているのに対して、美容整形は見た目を改善するために行う手術であるという事です。保険適応で行う眼瞼下垂手術では、見た目は二の次という事になりますので術式や二重の幅などの注文には応じられません。そのため外見的なこだわりが強い方は美容外科での手術をお勧めする事があります。
眼瞼下垂と診断されないケース
眼瞼下垂症と診断されるためには眼瞼下垂症の診断基準を満たしていることが必要です。上瞼のきわから黒目の中心(瞳孔)までの距離をMRD1(Margin reflex distance)といいますが、2ミリ以下で眼瞼下垂症と診断されます。また、当院では手術をするかどうかの基準として、眼瞼下垂によって、上が見にくい、頭痛や肩こりなどの症状を来しているかを重視しています。
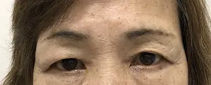
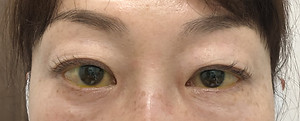
眼瞼下垂の症例
眼瞼下垂についてよくある質問
Q.
以前美容外科で二重手術を受けたのですが、だいぶ前に外れてしまいました。保険での手術は受けられませんか?
A.
一度でも自費の手術を受けた方は、保険での手術は受けられないというのが一般的な解釈と思います。私もそれには賛成するところもありますが、決めつけずに下垂の程度とお困りの症状で手術適応を判断することにしていますので、お困りの方はまずは相談に来てみて下さい。また、過去の手術歴は手術をすれば必ずわかりますので虚偽の申告は絶対にしないでください。
Q.
眼瞼下垂手術後に眼瞼下垂が再発することはありますか?
A.
眼瞼下垂は加齢による側面もありますので、年齢を重ねていくうちに再発することはあり得ます。また、原因がハードコンタクトレンズの場合はソフトコンタクトレンズに変更することで再発をある程度は抑制できます。再発してしまった場合、再手術は可能ですが、同じ場所を手術する場合は、傷の癒着などがあり、手術は難しくなることと腫れが長引く可能性があります。
Q.
芸能人が手術に失敗したと聞いたので心配なのですが…。
A.
執刀医として私が心掛けているのは、なるべく自然な仕上がりになるような術式を選択することです。術式を間違えなければ最終的には自然な仕上がりになると思われますが、術後のダウンタイム中は、必ず出血は血腫になり、瞼は腫れます。傷も半年くらいは赤みがあります。また、傷は目立たなくはなりますが、一生残ります。
眼瞼下垂手術の流れを動画で解説!
元町マリン眼科では、眼瞼下垂症の日帰り手術を行っています。困っているけど、手術に踏み切れない、手術が不安だという方に、手術の流れを解説し、安心して手術を受けていただけるよう作成しました。
0:00 イントロダクション
0:31 今日のトピック
0:53 眼瞼下垂の症状とカウンセリング
1:57 採血と手術の予約
2:47 当日の注意
4:19 術後の注意と予想されること
ブログでは当院で眼瞼下垂手術を行った症例をご紹介しています。手術を検討しているが、術後の腫れや仕上がりが心配、という方はぜひ御覧ください。
*お写真はすべて患者様の了承を得て掲載させていただいております。ご協力いただきありがとうございました!






